Lucrarile nu sunt doar despre un zambet perfect, cat sunt despre a reda functionalitatea naturala a dintilor.

Reabilitare orala complexa, realizata intr-o echipa multidisciplinara:
-implanturi dentare
-alungiri coroane laser
-tratamene endodontice
-coroane dentare

Fast & Fixed:
-6 implanturi dentare Inno
-lucrare provizorie
-punte insurubata metalo- compozit

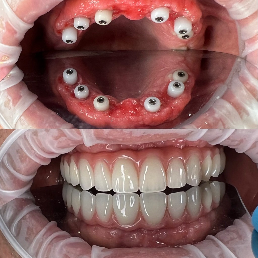
Caz pacient tanar, am optat pentru:
-inserare 8 implanturi dentare in osul maxilar si 8 implanturi dentare in mandibula
-aditii osoare
-ridicare de sinusuri
-lucrari protetice All on 8 pe structura de titan
-coroane dentare de zirconiu
– reconstructie gingivala din compozit

Fast & Fixed:
– 6 implanturi dentare
-lucrarea definitiva din metalo-compozit

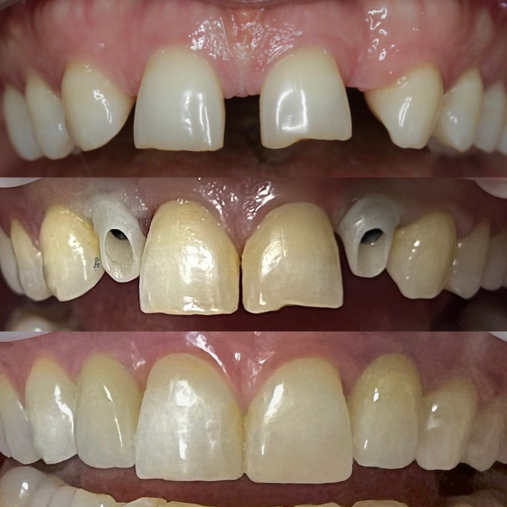
In acest caz pacienta a beneficiat de:
-tratament ortodontic
-2 Implanturi Straumann BLX
-2 Bonturi hibride de zirconiu
-2 Coroane dentare litiu disilicat
– refacerea muchiei incizale ciobite, cu compozit
